:: HOME       :: НАШИ РАБОТЫ       :: НАШИ ЦЕНЫ       :: О НАС      :: HEBREW




 

 

                      

                      

                      

         


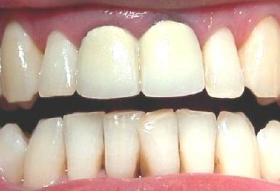
Некоторые из наших работ : 


 

 

 

 

 

 


  

                                                                                                           

:: HOME       :: НАШИ РАБОТЫ       :: НАШИ ЦЕНЫ       :: О НАС      :: HEBREW

www.denta.site2you.com ? 2003 ? Privacy Policy