:: Описание
:: Home    :: Наши Работы    :: Дипломы    :: Цены    :: Контакты
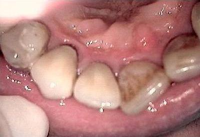
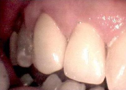
Пациент 50 лет ,изготовленны 2 коронки - металл Veron 99 (Bego), фарфор Vita Omega.

 

 

:: Home    :: Наши Работы    :: Дипломы    :: Цены    :: Контакты

www.denta.site2you.com © 2003 • Privacy Policy • Terms Of Use