:: Описание
:: Home    :: Наши Работы    :: Дипломы    :: Цены    :: Контакты

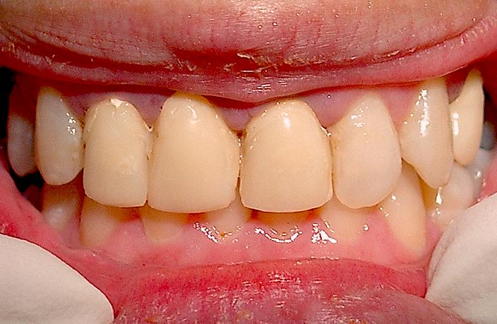
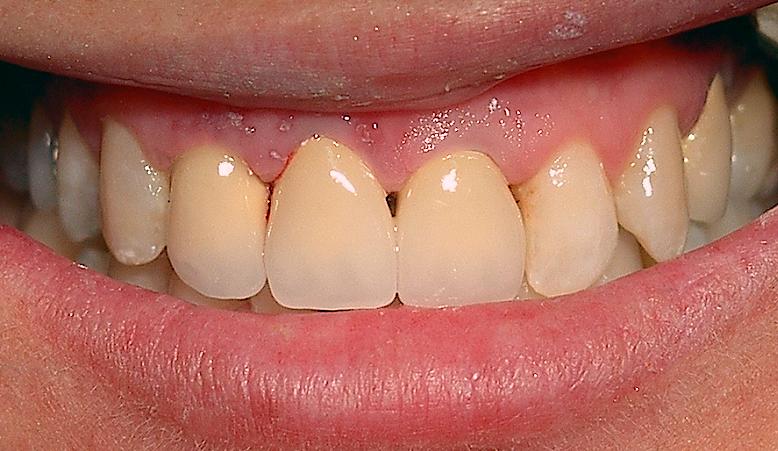
Пациентка 30 лет, произведена замена  12,11,21 коронок. Металл Veron 99 (Bego) , фарфор Vita Omega.

              

:: Home    :: Наши Работы    :: Дипломы    :: Цены    :: Контакты

www.denta.site2you.com © 2003 • Privacy Policy • Terms Of Use