תיאור ::        

דף הב'ת     :: עבודות שלנו     :: תעודות     :: מחירון     :: תקשורת ::

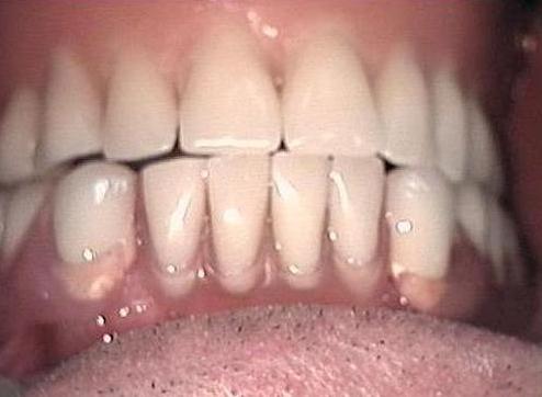
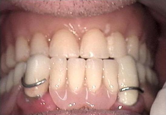
מתרפא, גיל 60 פנה למרפאה עם כואבים בשיניים 33,43. נעשה חידוש טיפול שורש, כתריםחדשים ותותבת ולפלסט- גמישה. בלסת עליונה בוצה תותבת שלמה מאקריל

 

      

דף הב'ת     :: עבודות שלנו     :: תעודות     :: מחירון     :: תקשורת ::

www.denta.site2you.com © 2003 • Privacy Policy • Terms Of Use