תיאור ::     

דף הב'ת     :: עבודות שלנו     :: תעודות     :: מחירון     :: תקשורת ::

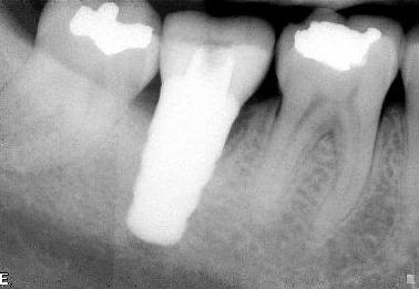
מתרפאה , גיל 26 שתל במקום של שן 37( חברת פריאדנט), כתר עשוי מחומר ארטגלס( חברת קולצר)

            

            

דף הב'ת     :: עבודות שלנו     :: תעודות     :: מחירון     :: תקשורת ::

www.denta.site2you.com © 2003 • Privacy Policy • Terms Of Use