תיאור ::   

דף הב'ת     :: עבודות שלנו     :: תעודות     :: מחירון     :: תקשורת ::

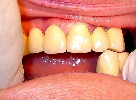
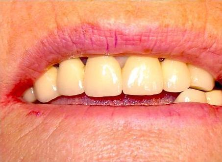
מתרפאה, גיל 62 בוצה גשר טוטלי עם הרמת מנשך ל 2.5 מ"מ. מתכת וירון 99, חרסינה ויטה אומגה

 

 

 

דף הב'ת     :: עבודות שלנו     :: תעודות     :: מחירון     :: תקשורת ::

www.denta.site2you.com © 2003 • Privacy Policy • Terms Of Use