תיאור ::   

דף הב'ת     :: עבודות שלנו     :: תעודות     :: מחירון     :: תקשורת ::

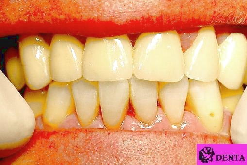
מתרפאה, גיל 50 עשוי גשר טוטלי בלסת עליונה עם מטרה אסטטית ( החלפה כתרים ישנים). מתכת וירון 99,חרסינה ויטה אומגה

 

דף הב'ת     :: עבודות שלנו     :: תעודות     :: מחירון     :: תקשורת ::

www.denta.site2you.com © 2003 • Privacy Policy • Terms Of Use